
얼굴 종양과 녹내장 다현이 소아마비 아빠의 서러움
자꾸만 좁아지는 다현이의 세상..
눈꺼풀을 뒤덮은 종양으로 한껏 턱을 들어야 간신히 보이는 다현이의 세상, 선천성녹내장으로 시신경이 손상되어 이 작은 틈마저 좁아지고 있습니다.
⇢ 선천성녹내장
선천녹내장이란 방수배출로의 이상으로 발생하는 선천질환으로 약 80~90%가 1세 이전에 발병합니다. 초기 증상으로는 눈물을 흘리고, 밝은 곳에서 눈을 부셔하고 눈을 자주 깜빡거립니다.또한 점차 시간이 지나면서 검은 눈동자가 뿌옇게 흐려지며 커지게 됩니다.
선천녹내장이 진행되면 각막 혼탁과 시신경 손상이 진행하여 실명할 수도 있기 때문에 발견 즉시 치료가 이루어져야 하지만, 성인과 달리 협조가 잘되지 않기 때문에 병을 진단하기가 쉽지 않습니다.


얼굴을 뒤덮는 종양을 평생 제거해야 합니다.
계속 자라는 얼굴의 종양. 주요 신경이 많아 치료가 어렵지만 제거하지 않으면 걷잡을 수 없이 커져 흘러내립니다. 종양을 제거한 상처부위가 터지는 일도 부지기수, 다현이의 얼굴엔 지난 아픔의 흔적이 선명합니다.


다시 볼 수 없을 수도 있기에 혹시 모를 미래를 준비합니다.
떠지지 않는 눈, 코에 닿을 듯 가까이해야 보이는 글씨 선천성 녹내장으로 그나마도 잘 보이지 않습니다. 안경을 쓰면 지금의 시력을 유지할 수 있다는데, 얼굴의 종양 탓에 안경을 쓰기가 어렵습니다. 다현이는 점자를 배우며 언제 올지 모르는 낯선 세상을 준비합니다.

아픈 몸으로 챙겨주지 못하는 것이 한없이 미안한 아빠
아버지
부모 아니면 누구를 원망하겠어요. 내가 조금이라도 더 살아서 그 원망을 받아주고 가야 하는데..



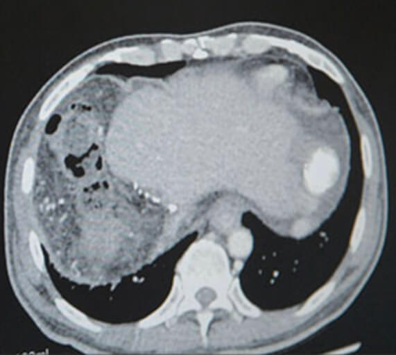
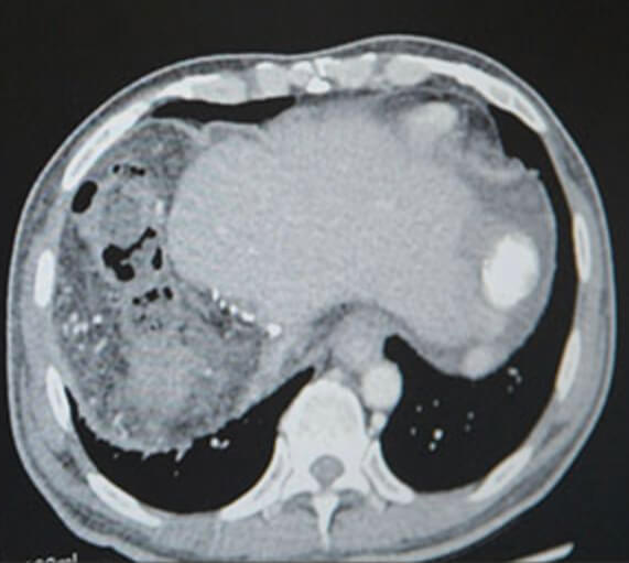
암과 2/3 이상 절제로 제 기능을 하지 못하는 간, 최근 의식을 잃어 생사를 오가는 일이 잦아졌습니다. 아빠는 아픈 딸을 챙겨주고 싶지만 오히려 보살핌을 받아야 합니다.
"저도 그런 삶을 살았거든요, 그래서 다현이 심정을 잘 알아요" 소아마비로 쓸 수 없는 오른쪽 다리 탓에 갖은 놀림과 설움을 겪었던 지난 시절, 내 딸이 나와 같은 아픔을 겪는다니 마음이 찢어집니다.

내 몸이 아픈 것보다 서로의 아픔을 걱정합니다.
하루가 다르게 악화되는 아버지의 건강상태 다현이 곁에 있을 수 있는 유일한 희망은 간 이식뿐입니다. 내가 아픈 것보다 서로의 치료가 먼저라는 다현이와 아빠에게 힘이 되어 주세요.

⇢ 진단비 지원
월드비전 희귀질환아동 지원대상은 진단비 등 건강보험에서 제외되는 경우가 많습니다. 당신의 기부로 지원대상 아동들의 진단받을 길이 열립니다.
⇢ 긴급의료비 지원
희귀질환(저소득가정) 아동에게 긴급의료비 지원을 통해 시급한 치료, 수술 등을 돕습니다. 아이들이 필요한 의료서비스를 제때 받을 수 있습니다.
⇢ 맞춤형 보장기기 등
희귀질환(저소득가정) 아동이 치료 후 회복 및 오랜 기간에 걸친 재활을 돈 걱정 없이 받도록 보장기기, 심리치료 등을 지원합니다.
다른 캠페인 보기
가정폭력으로 매일 밤 숨죽인 아이들
가정폭력으로 매일 밤 숨죽인 아이들 가장 가까운 두려움 가정폭력. 안전해야 할 보금자리가 가장 두려운 아이들이 있습니다. 넌 안 더워? 땀나는데? 체육시간에도 소매를 꼭 붙잡고 있는 아이.
k4.won9487.com
자폐성 장애 아름이 아빠마저 떠나지 않을게
아름아 아빠마저 떠나지 않을게 언제 떠날지 모르는 두려움 언제 쓰러질지 모르는 아빠는 장애가 있는 딸을 혼자 키우고 있습니다. 아름이와아빠 엄마가 당뇨를 앓다 세상을 떠난 후 아빠는 홀
k4.won9487.com
엔젤만증후군 지호는 아파도 웃는 아이
엔젤만 증후군 지호 지호(가명)는 2020년 3월에 태어났습니다. 올해 세 살이지만 아직 걷거나 말하지 못합니다. 지호의 병명은 엔절만 증후군입니다. 엔젤만 증후군은 우리말로 행복한 인형 증후
k4.won9487.com
세이브더칠드런 서하편 저소득 조부모가정
세이브 더칠드런 서하 편 저소득 조부모가정 할머니 없으면 나는 어디 가서 살지? 출산 후 사라져 연락이 닿지 않는 엄마와 서하의 존재를 숨기고 새로운 가정을 꾸린 뒤 연락이 뜸해진 아빠. 입
k4.won9487.com
월드비전 사랑의 도시락 결식아동 지원
월드비전 사랑의 도시락 결식아동 지원 허기진 식탁 아 아이들 대한민국에는 허기진 마음으로 여전히 배고픈 하루를 보내는 아이들이 많이 있습니다. 국내 결식아동 약 30만 명(보건복지부 기준
k4.won9487.com
'복지재단' 카테고리의 다른 글
| 할머니와 비닐하우스에서 사는 7살 나은이 (2) | 2023.08.16 |
|---|---|
| 무더운 여름 물을 긷는 무거운 여름의 아이들 (0) | 2023.08.15 |
| 초록우산 해피니스링 아이들의 행복 응원하기 (0) | 2023.08.11 |
| 추운겨울 전기장판으로 버티는 판자촌 삼남매 (0) | 2023.08.10 |
| 아이리더: 꿈을 현실로 만들다 (71) | 2023.08.05 |
| 가정폭력으로 매일 밤 숨죽인 아이들 (0) | 2023.08.02 |
| 아동학대 정책개선 서명운동 (0) | 2023.07.25 |
| 폭염 폭우로 여름이 두려운 지윤이 (0) | 2023.07.22 |

